注意!
これより先は痛々しかったり、可哀そうな写真が多いです。
苦手な方は、読まないで飛ばす事をお勧めします。
それともう一つ最初にゴメンナサイなんですけど、
どんな手術をするのか?は説明を聞いたんですけど、
どんな手順で手術が行われたのか?
までは確認してないので、想像の部分が多いです。
手術は麻酔のもと膝内視鏡での検査から始まると聞きました。
多分そこでは、前十字靭帯断裂に伴う半月板損傷の状態とか、切れた前十字靭帯の除去をしたんだと思います。
↓これは、いちくんの内視鏡画像ではないのですが、白くフワフワしたのが切れてしました前十字靭帯です。
情報収集している時に、このフワフワした前十字靭帯をノズルみたいなので吸い取ってる動画を見たので、恐らく同じ様な処置をされたのだと思います。
これからは、いちくんの実際の手術写真。
手術には立ち会えないので、記録写真を撮影してもらいました。
脛骨の先端を、専用のノコギリで切断しようとしてるとこですかね・・・。
多分こちらは切断した部分に角度をつけて、プレートで固定してるとこ。
脚全体が真っ赤で、出血がすごい・・・はたまた、皮膚全体がズリ剥けてる様に見えますが、
手術部位の感染を防止する切開用フィルムです。
イソジン色のフィルムなので、ちょっとビックリしますね (;´・ω・)
手術は約4時間の大手術でした。
ERから終了との連絡をもらい、様子を見にいきましたところ、
なんとも気の毒に横たわる いちくんがそこに居りました(´;ω;`)
まだ自発呼吸ができないので、目覚めるまで手術も担当された柿嶌先生が引き続き付き添ってくれてました。
しかし、そこには是枝先生の姿はありませんでした。
始まる前も一目いちくんの顔を見ようと駆け付けましたが、既に手術室に入ってしまったとの事で、是枝先生にも、いちくんにも会えず、
忙しい方なのね・・・ ^^
そして手術の結果は、成功!!!
心配された半月板の損傷は無く、
出血も想定内。
その後、無事に目も覚めましたよ♪
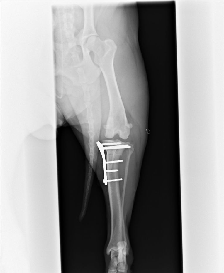
手術後のレントゲンで、きちんとプレートが付いている事も確認。
あ、それと、これは今回の手術のついでにお願いしたんですが、
いちくん、去勢しました。
いちくんの検査の結果、「全て問題なし」と書きましたが、前立腺の肥大が前から気になっていて、
そのうち手術も考えていたので、何度も麻酔をする負担をなくすべく、今回一緒に手術してもらいました。
↑切除した精巣
術後疲れている先生達に、「去勢したブツが見たいんですけど・・・」
と、見せてもらいました。
私の想像だと、陰嚢も一緒に切除するのかと思ってました。
なので、いちくんの容姿は今までとそんなに変わらないです。
ただ、少し陰嚢がしおしおなだけ。
それも含めて、無事に終わって良かった。
★つづく★









