さて、前十字靭帯雄断裂によって、クルーズさんに勧められた治療法は、『TPLO手術(脛骨高平部水平化骨切り術)』
※写真:藤井寺動物病院・動物人口関節センターより引用。
TPLO・・・骨切り術?
そして、こんな ↓ 写真見ても、なんのこっちゃ?ですな ^^;
まぁ、簡単に申しますと、膝関節を支えていた前十字靭帯が断裂してしまうと、脛骨が前方に変位して、大腿骨が後方に滑り落ちてしまうそうな !
そりゃ、歩けなくなる訳ですわな(´・ω・`)
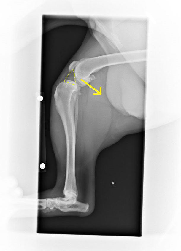
※↓ 実際の いちくんの膝関節レントゲン。
△部分、関節を潤滑する役目の関節液の増量所見があり、
大腿骨が脛骨の丸い先端を滑り落ちて内側にあるのが分かりますね。
なので、脛骨の先端を切って、大腿骨が滑り落ちない角度に設定、プレートで固定する訳です。
なんとも痛そう (;´・ω・)
そして、おおよその費用を聞いてシビれるのであった・・・。
ただ手術しないで このまま放置すると、半月板を損傷したり、滑膜が炎症を起こしたり、
はたまた、断裂した方の足を庇って反対側の脚の十字靭帯も高い確率で断裂すると言われました。
もちろん、断裂してしまったものは頑張っても、もう二度と元通りにはなりません(´;ω;`)
そうです・・・。
この件を家に持ち帰ったものの、この方法以外に手は無いのだと・・・。
そう我が家は判断いたしました。
因みにですが、小型犬であれば骨切り術でなくてもナイロン糸で関節を締め上げて固定するという方法があるんだそうです(・ω・)
ナイロン糸が前十字靭帯の代わりって訳ですね!
でもね・・・ナイロン糸の強度の問題で大型犬に この手術は出来ないんですって・・・(´-ω-`)
又、その小型犬の手術はクルーズさんでも対応可能との事なんですけど、TPLOは設備の整った環境で、手術スタッフも4人がかりで行う為、別の獣医での手術を余儀なくされました。
ただ手術の効果は、ほぼ回復(99%以上の症例)
後遺障害、日常生活には支障がない。
との事!♪
待ってろ!いちくん!
また走れる様にしてやるぜぇ~~~(・ω・)ノ
★つづく★



